וואטסאפ
ד׳ר בראילובסקי
10+ שנות ניסיון

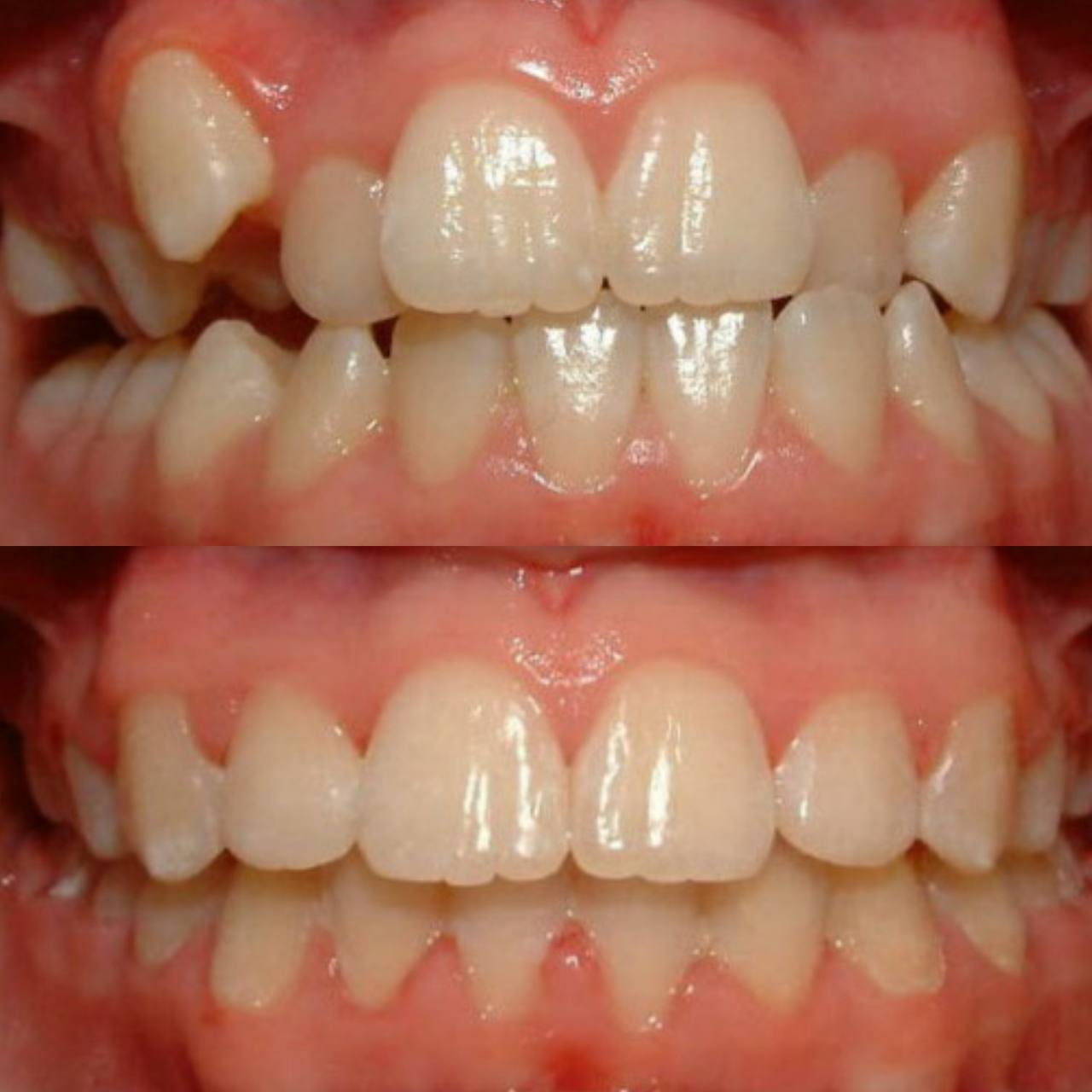
ד"ר בראילובסקי — חיוך מושלם במגע עדין

רפואת שיניים אסתטית בהתאמה אישית: שילוב של ניסיון, טכנולוגיה מתקדמת ועבודה עדינה לקבלת תוצאות טבעיות ומחמיאות.

🦷
טיפול עדין ללא כאב
שיטות מתקדמות להקטנת תחושת אי־נוחות ושמירה על חוויית טיפול נעימה.
🧑‍⚕️
ניסיון של מעל 10 שנה
אלפי מטופלים מרוצים ומאות חיוכים משודרגים בכל הרמות האסתטיות.
💎
אסתטיקה מושלמת
עבודה קפדנית על הפרטים הקטנים כדי להבטיח תוצאה טבעית ויפהפייה.

הסמכות ותעודות

קורסים, השתלמויות והכשרות מקצועיות — כל אלו כדי להעניק לכם את הטיפול הטוב ביותר.

השירותים שלנו

מרפאת שיניים בבאר שבע: טיפולי שיניים פרטיים, עדינים ומקצועיים — קרוב אליך ובהתאמה אישית.

כירורגיה

טיפולים כירורגיים עדינים ומדויקים להבטחת החלמה מהירה.

מעוניינים בחיוך המושלם? השאירו פרטים

    © כל הזכויות שמורות לד"ר אילונה בראילובסקי
    בניית אתרים ועיצוב גרפי: Art-E-Shock